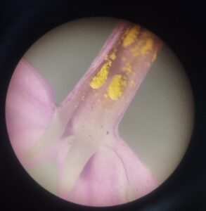
Durant les darreres setmanes l’alumnat de 1r d’ESO ha anat al laboratori de Biologia i Geologia per observar amb la lupa diferents tipus de flors. Tot diferenciant entre els òrgans reproductors femenins i masculins que intervenen en la pol·linització, tot coincidint amb la primavera.







