ELECCIONS AL CONSELL ESCOLAR

Aquest curs se celebren les eleccions al Consell Escolar de la nostra escola, l’òrgan de participació on es prenen les decisions més rellevants sobre el funcionament i la vida del centre.

El Consell Escolar està format per representants de tots els sectors de la comunitat educativa: mestres, famílies, alumnes, PAS/PAE, Ajuntament, AFA i equip directiu.

Els membres es renoven cada quatre anys, i aquest curs hi ha les següents vacants:

  • 2 mestres
  • 2 representants dels pares, mares i tutors/es legals d’alumnes

Els censos electorals ja estan exposats al tauler del centre per a la seva consulta. Les reclamacions es poden presentar del 4 al 6 de novembre a la secretaria de centre a través de la sol·licitud següent.

Us animem a participar activament en aquest procés, ja sigui presentant-vos com a candidats/es per representar les famílies o votant el dia de les eleccions, que tindran lloc el proper dimecres 19 de novembre, de 16:16h a 18h, al vestíbul de l’escola. En cas que us vulgueu presentar com a candidats/es heu d’omplir el document adjunt i enviar-lo al correu de l’escola (b7005182@xtec.cat) a l’atenció de la direcció fins el dimecres 12 de novembre. La publicació del llistat de les candidatures es farà divendres 14 de novembre.

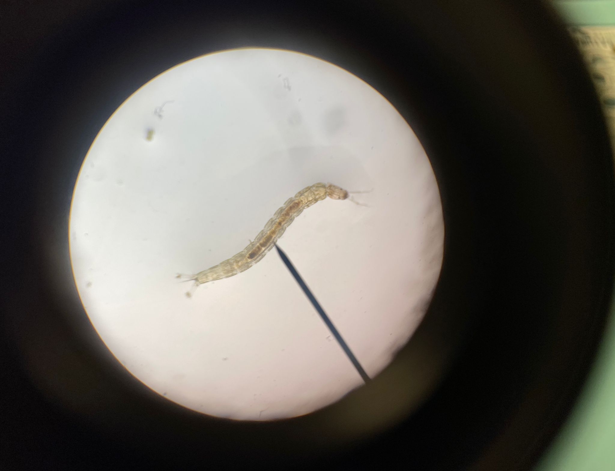
QUÈ HI HA DINS UNA GOTA D’AIGUA?

L’alumnat de 5è ha anat a realitzar l’activitat “Què hi ha dins una gota d’aigua de l’estany?” a l’Escola de Natura per complementar el projecte que estan duent a terme a l’aula. Han quedat fascinats de tot el que podem trobar en una gota d’aigua de l’estany: puces d’aigua, rotífers, cíclops, larves…

EXCURSIÓ AL MIRADOR DE PUIG CLARÀ

El dilluns 21 els alumnes de quart van pujar a Puig Clarà per conèixer millor la situació de la comarca i les comarques veïnes. El dia va ser assolellat i molt serè, cosa que els va permetre gaudir d’unes vistes espectaculars, des del nord, amb les muntanyes de la Garrotxa i el Prepirineu, fins a la costa. En acabar la visita, durant la baixada, van fer una activitat de plogging, recollint deixalles i contribuint així a mantenir l’entorn més net.

VISITA A VILAUBA

Els nens i nenes de 4t han anat a Vilauba, el jaciment romà situat a la comarca del Pla de l’Estany, per conèixer de primera mà com vivien els romans a l’edat antiga. Durant la visita han pogut descobrir com eren les cases i com era la vida quotidiana en aquella època.

PREPAREM LA FESTA MAJOR

L’alumnat de 4t de la nostra escola ha comptat amb l’ajuda d’alumnes de 4t d’ESO dels Instituts Pla de l’Estany i Josep Brugulat per assajar els balls que faran el proper 17 d’octubre al matí a la Plaça Major.