La comunitat de l’Ortiz
Bon dia! Aquesta setmana passada va ser la Setmana del Medi Ambient i, com a la comunitat dels petits ens agrada celebrar-ho tot, vam fer un seguit de tallers. Tots ells giraven al voltant de les 3 R: Reduir, Reutilitzar i Reciclar i amb aquesta idea al cap, vam recol·lectar un munt de material i […]
L’alumnat de 5è i 6è ha tingut l’oportunitat de visionar l’obra en anglès Tommy and the Talent Thief, una història màgica i musical plena d’aventures i aprenentatges. En Tommy és un nen que adora ballar, però se sent molt trist quan suspèn un examen de ball i pensa que no té talent. El seu professor […]
El passat divendres les nenes i els nens de primària van poder gaudir d’uns tallers sobre el medi ambient i la sostenibilitat organitzat per l’alumnat de 6è per tancar la setmana del Medi Ambient. Van poder aprendre sobre com elaborar colorant natural, sobre quines olors ens envolten, si l’escola és sostenible o no, com fer […]
Bon dia!! La setmana passada va ser una setmana de bogeria i disbauxa, i no només pel carnestoltes! Tot i la ventada, els infants van poder gaudir a la escola de les consignes i de la rua del Rei Carnestoltes. Per a que pogueu veure què bé que s’ho van passar, us compartim un recull […]
Aquestes últimes setmanes els nens i les nenes de 5è hem portat a terme la Situació d’Aprenentatge “Trobem una vacuna per al Virus Covid 26”. La Mar, una mestra en pràctiques que ha estat amb nosaltres l’últim mes, ens va explicar que els científics havien trobat una nova variant del Virus Covid, el 26, i […]
Bon dia famílies! Ja estem al febrer, un mes carregat de festes divertides i tradicions. Però abans de començar amb el mes de la disbauxa, us compartim un recull de fotografies dels racons del mes de gener. Els vostres fills i filles cada dia tenen més habillitat i les feines es compliquen, però sempre gaudeixen […]
Com a punt final de la nostra SA “Les màquines, l’energia i les forces” hem fet robòtica per construir les nostres pròpies màquines. Des d’una bicicleta a unes pinces, hem experimentat amb el Lego Spike Prime i hem après a programar la placa Micro:bit per poder fer un semàfor de so. Clicant a la foto […]
La setmana passada, la comunitat d’experts de 4t, 5è i 6è va participar en una sèrie de tallers afectivosexuals pensats per fomentar el respecte, l’autoconeixement i la convivència positiva entre l’alumnat. L’alumnat de 4t va iniciar aquest recorregut amb el taller “Trenquem etiquetes”, una proposta que els va permetre reflexionar sobre els estereotips i les […]
Els i les alumnes de 5è hem participat en un taller afectivosexual pensat per fomentar el respecte, l’autoconeixement i la convivència positiva entre l’alumnat. Vam poder expressar opinions, compartir experiències i entendre com les etiquetes poden limitar les persones i afectar les relacions, reforçant així valors com l’empatia i el respecte. Vam acabar representant escenes […]
Bon dia! El final de desembre va ser molt mogut, amb moltes sorpreses, visites de personatges màgics, molta música i molts regals. Per aquest motiu us volem compartir un recull de fotos de com vam viure l’arribada dels patges, el moment de fer cagar el Tió i els regals de reis que ens vam trobar […]
Bon dia! Durant aquests tres primers mesos hem començat el apadrinament lector. Aquesta activitat implica que un infant d’un curs més gran acompanya a un infant més petit en l’inici de l’aprenentatge de la lectura. A la classe dels Titelles (i3) venen els infants de 4rt i els llegeixen contes. A la classe de la […]
Totes les activitats de Nadal van començar amb la preparació de les fotografies nadalenques pel concert. (Cliqueu a la imatge per veure la resta) El dia 16 de desembre per fi va arribar el gran dia del concert d’hivern… la nostra actuació va ser memorable! L’últim dia del trimestre vam fer l’amic invisible. Per motius […]
L’equip docent, l’equip PAS i l’equip PAE de l’Ortiz us desitja bon Nadal!
Per acabar aquest trimestre, l’alumnat de 6è i el de 1r ha tornat a trobar-se amb un objectiu comú: la creació de postals conjuntes.
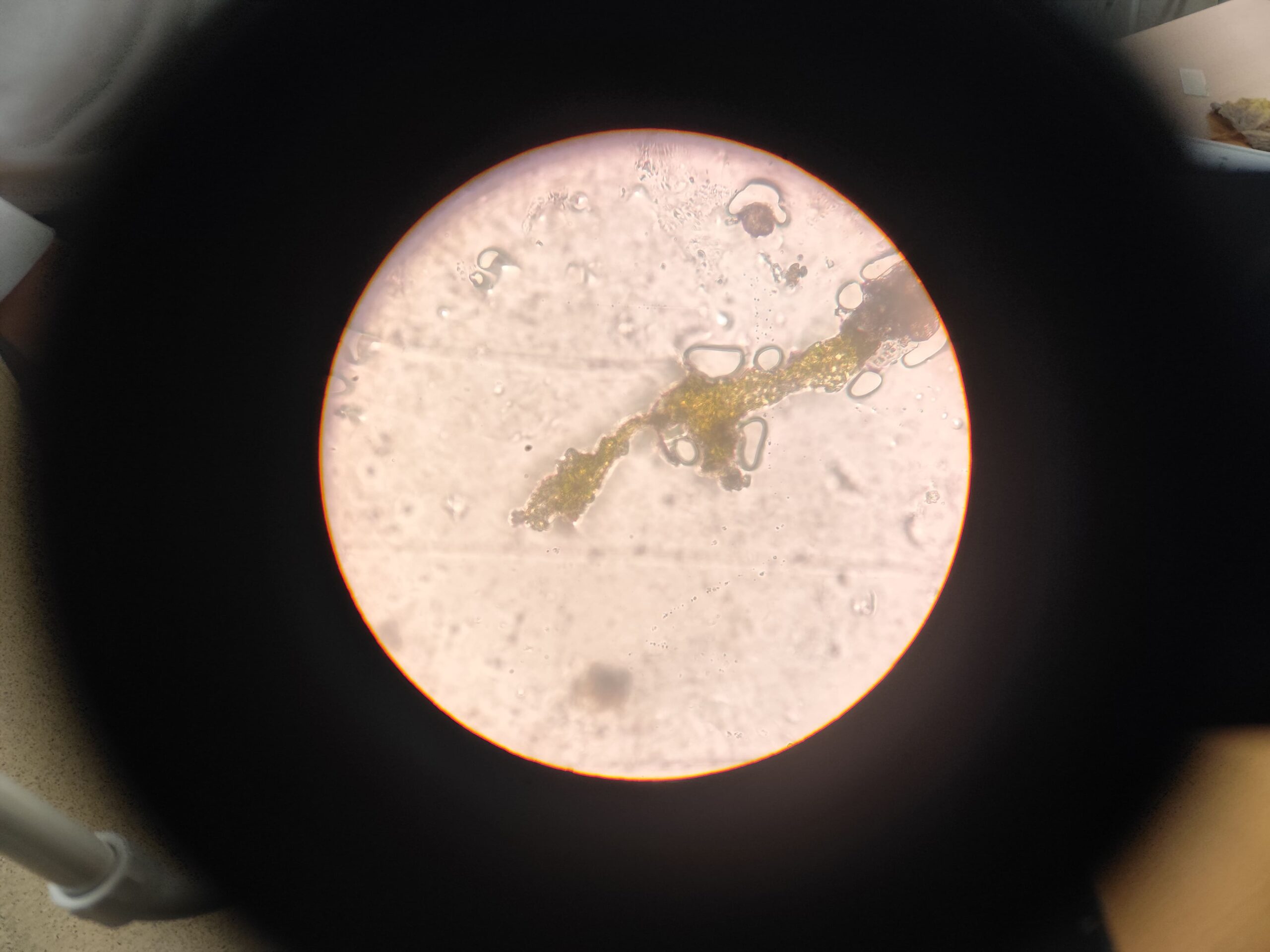
Aquestes últimes dues setmanes l’alumnat de 6è ha deixat les aules per endinsar-se al laboratori i iniciar-se en la nova situació d’aprenentatge: la cèl·lula. Per dur a terme aquesta pràctica, hem utilitzat una tècnica fantàstica que vam aprendre durant el nostre darrer intercanvi amb l’alumnat de l’ESO. Amb paciència i molta precisió, hem preparat les […]
Bon dia! Tot i que no hem acabat el mes de desembre, volem compartir els racons que hem fet perquè hem tingut la participació molt especial de unes quantes famílies. Han pogut veure com treballem als racons i gaudir d’una estona del dia a dia dels seus fills i filles. Si cliqueu a cada classe, […]
Dintre de la nostra Situació d’Aprenentatge “Les màquines, l’energia i les forces”, els i les alumnes de 5è hem anat a l’aula de ciències i hem fet experiments sobre la força elèctrica i la gravitatòria. Clicant a la fotografia podreu veure la resta de les imatges.
Bon dia! A la classe dels Titelles fa setmanes que treballem el conte de la Castanyera i que cantem la seva cançó. Tant ens agrada el conte que hem decidit que seria molt divertit poder representar-lo nosaltres mateixos, posant-nos les disfresses, decidint quins personatge faria cadascú, qui seria el narrador…. A més, com estem treballant […]
Bon dia! Ja s’ha acabat novembre i això vol dir que ja us podem compartir les imatges dels diferents racons que hem fet durant tot el mes. Mireu com hem gaudit i sobretot, com hem interioritzat diferents conceptes a través de la manipulació i el joc.
Bon dia! Ja s’ha acabat novembre i això vol dir que ja us podem compartir les imatges dels diferents racons que hem fet durant tot el mes. Mireu com hem gaudit i sobretot, com hem interioritzat diferents conceptes a través de la manipulació i el joc.



































