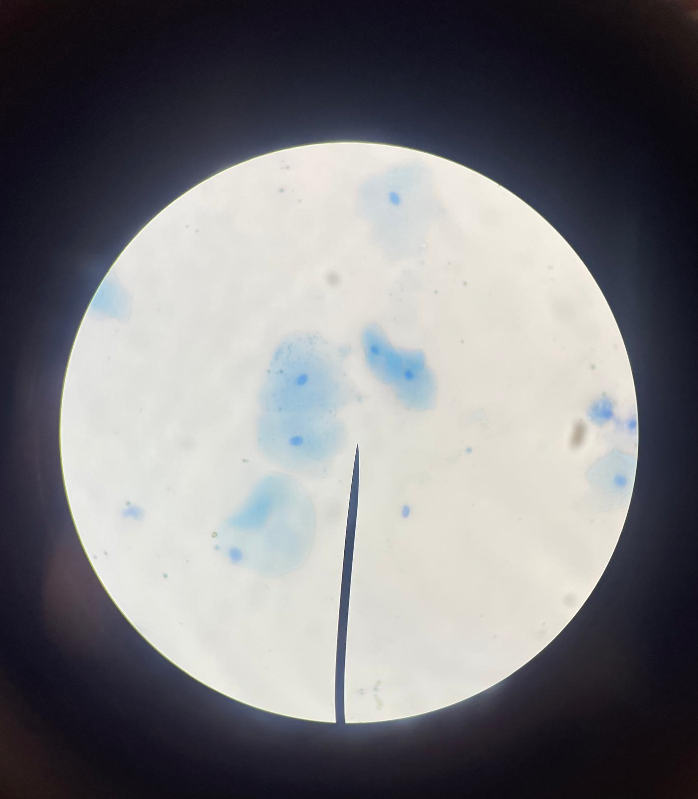
L’alumnat de 1r d’ESO ha realitzat una pràctica de laboratori per observar i comparar cèl·lules eucariotes vegetals i animals mitjançant el microscopi.
Durant aquesta activitat científica, els nois i noies han observat l’epidermis de ceba com a exemple de cèl·lula eucariota vegetal, i la mucosa bucal com a mostra de cèl·lula eucariota animal. Aquesta pràctica els ha permès identificar diferències i similituds entre ambdós tipus de cèl·lules.
Per facilitar-ne l’observació, les mostres s’han tenyit amb un colorant específic anomenat blau de metilè, responsable de la tonalitat blavosa que es pot apreciar al microscopi. Aquest procés ajuda a distingir millor les estructures cel·lulars i a comprendre’n la funció.
![]() |
![]() |
![]() |
![]() |
Una experiència pràctica que apropa l’alumnat al mètode científic i reforça l’aprenentatge dels continguts de biologia a través de l’observació directa. 🧠✨






